62nd National Congress of the Italian Society of Rheumatology
Vol. 77 No. s1 (2025): Abstract book of the 62th Conference of the Italian Society for...
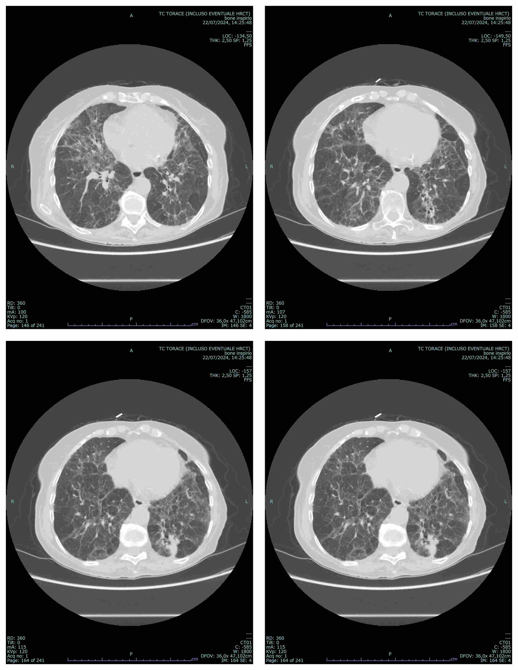
PO:34:207 | When the Lungs Speak in Squeaks: Chronic Bird-Related HP in SSc-ILD with Incidental Lymphoma
Mariagrazia Nuara1, Marco De Pinto2, Amelia Spinella2, Stefania Cerri1|2, Enrico Clini1|2, Dilia Giuggioli1|2 | 1Università degli Studi di Modena e Reggio Emilia, Italy; 2AOU, Policlinico di Modena, Italy
Publisher's note
All claims expressed in this article are solely those of the authors and do not necessarily represent those of their affiliated organizations, or those of the publisher, the editors and the reviewers. Any product that may be evaluated in this article or claim that may be made by its manufacturer is not guaranteed or endorsed by the publisher.
All claims expressed in this article are solely those of the authors and do not necessarily represent those of their affiliated organizations, or those of the publisher, the editors and the reviewers. Any product that may be evaluated in this article or claim that may be made by its manufacturer is not guaranteed or endorsed by the publisher.
Published: 18 March 2026
37
Views


