62nd National Congress of the Italian Society of Rheumatology
Vol. 77 No. s1 (2025): Abstract book of the 62th Conference of the Italian Society for...
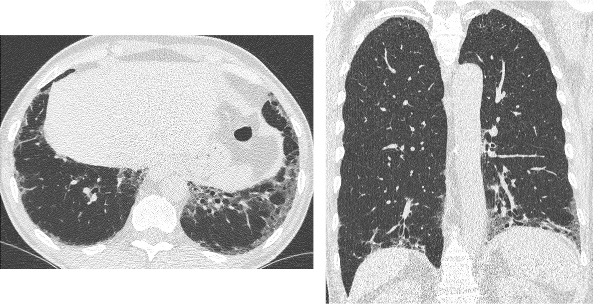
PO:10:141 | A Case Study: Navigating the VEXAS Syndrome Mimickers
Erika Montabone1, Richard Borrelli1, Nicolò Rashidy1, Fabiana Giannoccaro2, Giuseppe Guida2, Federico Itri3, Renato Carignola4, Simone Negrini1, Stefania Nicola1, Luca Lo Sardo1, Iuliana Badiu1, Federica Corradi1, Ambra Bonvicino5, Maurizio Balbi6, Luisa Brussino1 | 1SCDU Immunologia e Allergologia, AO Mauriziano, Dipartimento di Scienze Mediche, Università degli Studi di Torino Torino, Italy; 2SSD Asma grave, malattie rare del polmone e fisiopatologia respiratoria, AOU San Luigi Gonzaga Orbassano, Italy; 3SCDU Medicina Interna ad indirizzo Ematologico, AOU San Luigi Gonzaga Orbassano, Italy; 4SCDU Medicina Interna, Scleroderma Unit, AOU San Luigi Gonzaga Orbassano, Italy; 5SCDU Dermatologia, Città della Salute e della Scienza di Torino Torino, Italy; 6SCDU Radiodiagnostica, AOU San Luigi Gonzaga, Dipartimento di Oncologia Orbassano, Italy
Publisher's note
All claims expressed in this article are solely those of the authors and do not necessarily represent those of their affiliated organizations, or those of the publisher, the editors and the reviewers. Any product that may be evaluated in this article or claim that may be made by its manufacturer is not guaranteed or endorsed by the publisher.
All claims expressed in this article are solely those of the authors and do not necessarily represent those of their affiliated organizations, or those of the publisher, the editors and the reviewers. Any product that may be evaluated in this article or claim that may be made by its manufacturer is not guaranteed or endorsed by the publisher.
Published: 18 March 2026
59
Views


